I NEED A FILLING – WHAT TYPES ARE THERE?
There are a number of different fillings including: • amalgam (silver coloured) • composite fillings (tooth coloured) • glass ionomer (tooth coloured) • gold inlays and onlays (gold coloured) • porcelain inlays (tooth coloured)
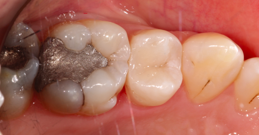
WHAT ARE AMALGAM FILLINGS?
Amalgam fillings are silver coloured. They are made by combining mercury and a silver alloy (50% mercury, 35% silver, 15% tin, copper and other metals). Amalgam is long lasting and hard wearing and has been used in fillings for at least 150 years. It is economical to use and it is not unusual for an amalgam filling to last 15 to 20 years. This kind of filling is normally used on the back ‘chewing’ teeth. Before the filling can be placed, the area must be prepared by removing all the decay and shaping the cavity to hold the filling in place. If the tooth is badly broken, your dentist may need to place a small stainless steel pin to help secure the filling.
ARE THERE ANY RISKS FROM AMALGAM FILLINGS?
Mercury in dental amalgam is not poisonous once it is combined with the other materials in the amalgam filling. Its chemical nature changes so that it is harmless.Research into the safety of dental amalgam has been carried out for over 100 years. So far, no reputable controlled studies have found a connection between amalgam fillings and any medical problem.
WHAT ARE COMPOSITE FILLINGS?
Composite fillings are strong, but may not be as hard wearing as amalgam fillings. Composite fillings are tooth coloured and are made from powdered glass quartz, silica or other ceramic particles added to a resin base. After the tooth is prepared, the filling is bonded onto the area and a light shone onto it to set it. The dentist will choose a shade to match your existing teeth, although over time staining can happen.
WHAT ARE GLASS IONOMER FILLINGS?
Glass ionomer fillings form a chemical link with the tooth. They may also release fluoride, which helps to prevent further tooth decay. This type of filling is fairly weak and, because of this, is usually limited to use on baby teeth and non-biting surfaces such as around the necks of the teeth. Little preparation is needed as the filling bonds directly to the tooth.
WHAT ARE GOLD INLAYS AND ONLAYS?
These can be used in most areas of the mouth. An inlay is and within the biting surface of the tooth. An onlay can cover a larger area of the tooth. Gold is the most long lasting and hard wearing filling material and will last for many years. An advantage of gold is that it does not tarnish and has great strength. One of the differences between gold and other filling materials is that the gold filling is made in a laboratory. Your dentist will usually take an impression of the prepared cavity and send it to the laboratory for the technician to make the inlay or onlay. In the meantime a temporary filling will be placed in the cavity. After the gold inlay or onlay has been made, your dentist will fix it in place with dental cement. This type of filling is more expensive.
WHAT ARE PORCELAIN INLAYS?
Your dentist can now use digital technology (called CADCAM) to design and prepare perfectly fitted porcelain inlays in just one or two visits. Porcelain inlays can also be made in a laboratory but this will need at least two visits to your dentist. Porcelain can be hard wearing and long lasting and also has the benefit of being able to be coloured to match your natural tooth. Again, this type of filling can be quite expensive.
WHERE CAN I GET MORE INFORMATION?
Your dentist will advise you on what kind of filling material is suited to your situation. Discuss with your dentist if you would like a particular type of filling material such as tooth-coloured fillings. Always ask for a treatment plan and a written estimate before starting any treatment.


