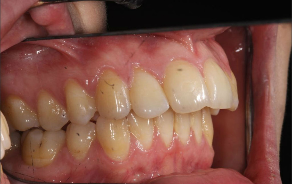
Invisalign the clear alternative to braces
The treatments below have been completed with either Invisalign (the clear alternative to braces) or Inman aligner. Our prices are from as little as £1600 up to £3000 for Full Invisalign treatment which includes the assessment fee, Invisalign aligners, the retainers and we will also throw in free Teeth Whitening for you to brigthen up your smile.
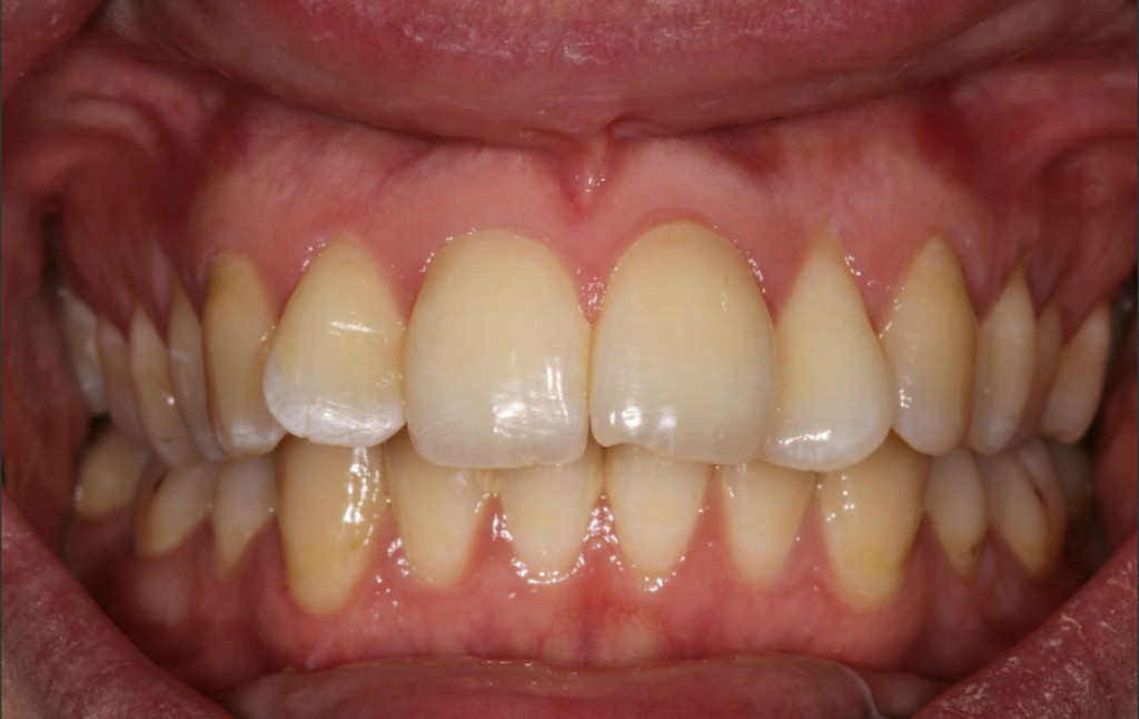
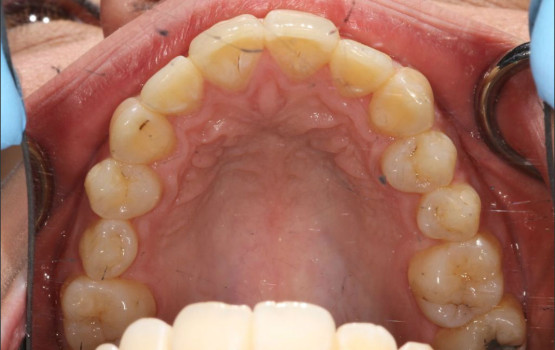
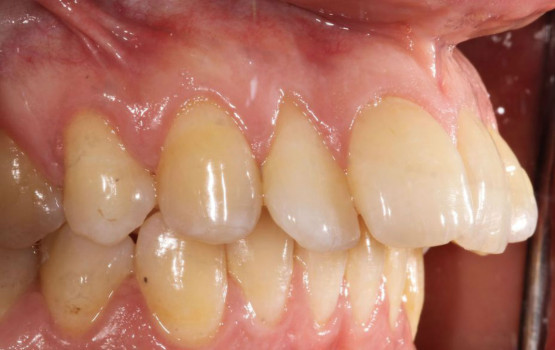
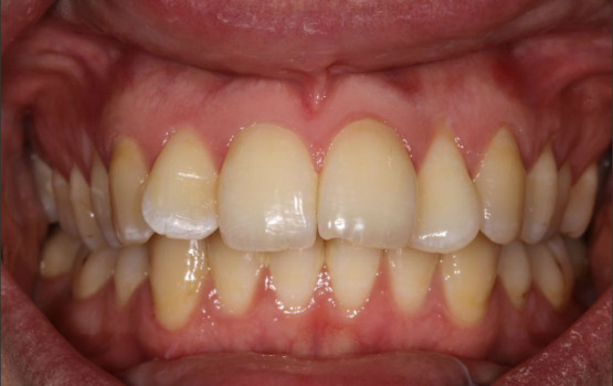
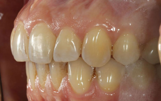
Miss P was concerned about her upper anterior teeth. Using Invisalign, the teeth were aligned and it was done discretely without the need of any metal braces.
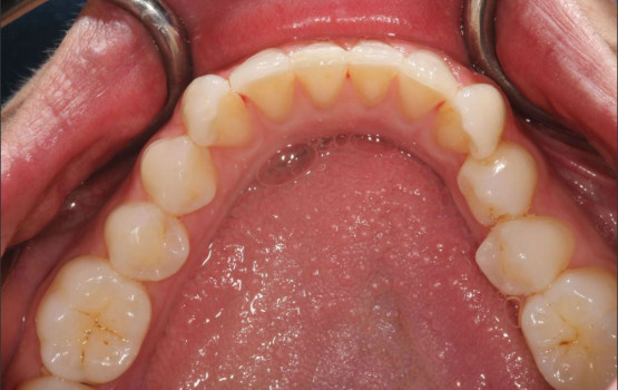
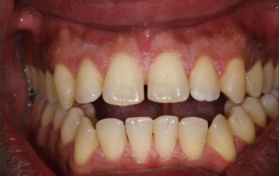
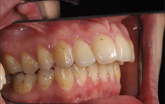
Miss T was mainly concerned about her lower front teeth which had relapsed after having had braces when she was younger. The teeth were straightened within 12 weeks!!
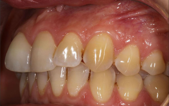
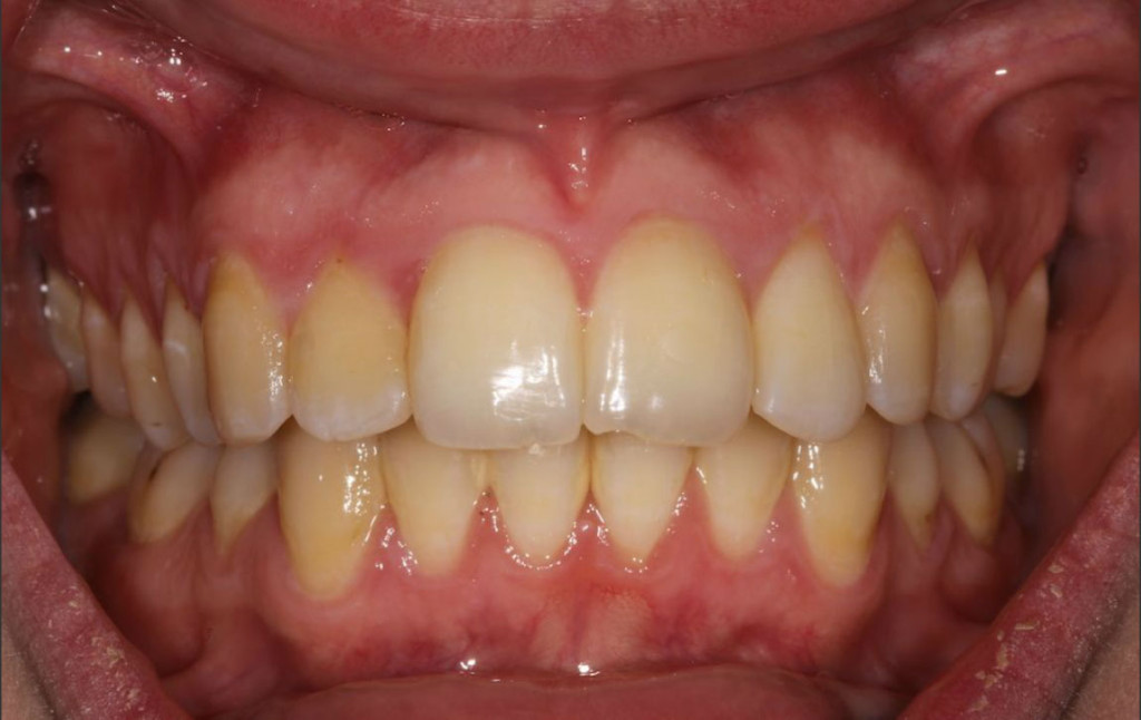
Mr B was concerned about his lower front teeth. He came to us as he wanted to have his teeth straightened for his wedding which was in 6 months. The teeth were straightened within 10 weeks and he has gone on to whiten his teeth for his perfect day.
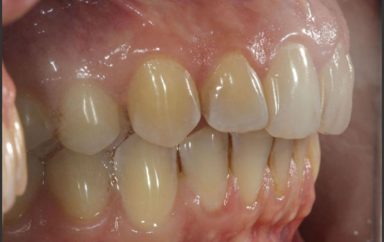
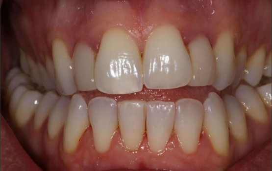
Miss H had never been offered braces when she was younger and was really concerned about her front tooth. It always bothered her when she smiled. She did not like the idea of something metal fixed to her teeth. We gave her the alternative treatment options and her teeth made a significant improvement within 6 months.
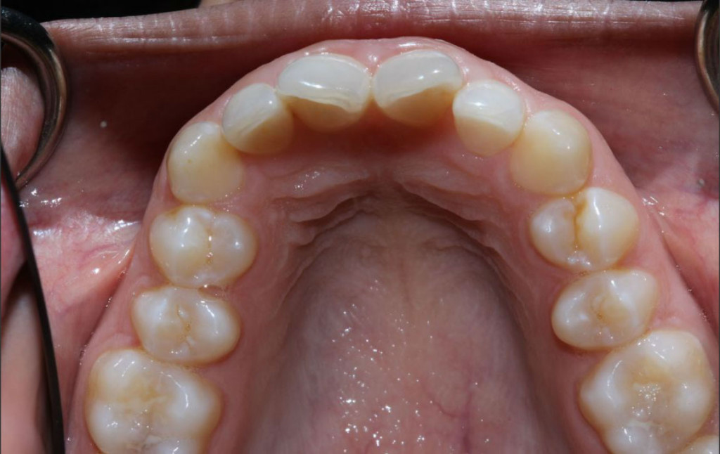
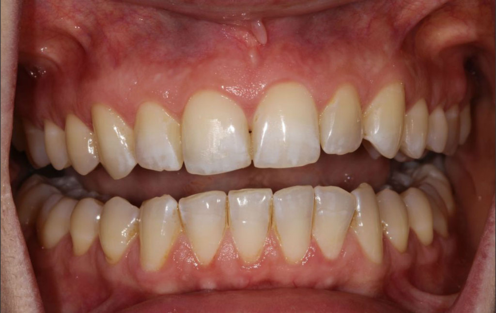
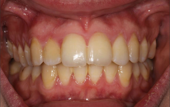
Miss G had braces when she was younger however her dentist did not provide her with a retainer. Her teeth relapsed and she had her sisters wedding coming up in 12 months. She decided to come and see us to have her teeth straightened which only took 24 weeks from start to finish. We even repaired the little chip in her tooth right at the end with edge bonding and using the latest techniques in dentistry.